Caso de éxito de la Dra. Mariluz: el paso a la odontología digital con carillas definitivas impresas en 3D
Dar el paso hacia la odontología digital cambia mucho más que la forma de fabricar una restauración. Cambia la forma de planear, de probar, de decidir y de llegar a una restauración definitiva con más seguridad. Ese es el valor real del caso de la Dra. Mariluz. No se trata únicamente de unas carillas impresas en 3D. Se trata de una profesional que incorpora un flujo digital a su práctica y logra convertir ese proceso en un resultado clínico estable, bien adaptado y con buena respuesta en el tiempo.
En tratamientos estéticos, esa diferencia importa mucho. Una carilla puede verse bien el día de la entrega y aun así fallar en adaptación, color o resistencia con el paso de las semanas. Por eso este caso tiene fuerza. Porque la doctora no se queda en la fase inicial del entusiasmo por la tecnología. Logra llevar el caso hasta una restauración definitiva que, después de aproximadamente seis meses, sigue sin fracturas, sin novedades y sin cambios de coloración. Ahí es donde la odontología digital deja de ser una intención y empieza a convertirse en confianza clínica.
El punto de partida del caso
El caso comenzó con un flujo claro. Primero se realizó el diseño. Después se imprimieron las pruebas o copias con resina Portux. Finalmente, las carillas definitivas se fabricaron con resina Prizma Biocrown. Esa secuencia tiene mucho valor porque muestra una forma de trabajo donde la impresión 3D no se usa de manera improvisada. Se usa para validar antes de cerrar, para revisar antes de definir y para llegar a la fase definitiva con una base más controlada.

Ese punto merece atención porque ahí está una de las mayores ventajas del flujo digital. La doctora no tuvo que avanzar a ciegas hasta la restauración final. Tuvo un proceso intermedio para comprobar el diseño y llegar a una decisión más segura. En estética, ese paso cambia mucho el tratamiento, porque da más control sobre forma, proporción y lectura general del resultado antes de comprometer el caso de manera definitiva.
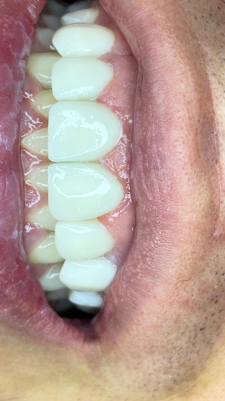
Lo más importante de esta historia no es que se usó una resina definitiva. Lo más importante es lo que esa elección permitió lograr. La Dra. Mariluz destaca cuatro cosas muy concretas sobre el resultado final: buen acabado, buen brillo, fácil adaptación y ausencia de cambios de coloración. Ese tipo de atributos no suenan espectaculares cuando se leen rápido, pero en realidad contienen todo lo que un caso estético necesita para sostenerse bien en clínica. Una restauración que adapta fácil reduce fricción durante la entrega. Una superficie con buen brillo mejora la percepción estética. Un material que no cambia de color mantiene la confianza en el resultado. Y una evolución sin fracturas durante meses le da al caso una base clínica mucho más seria.
Ese es el punto que debe llevar al lector dentro del blog. La promesa no es imprimir por imprimir. La promesa es lograr restauraciones definitivas que se vean bien, se adapten bien y se mantengan bien. En este caso, la experiencia de la doctora va justamente en esa dirección.

Hay algo muy potente en la forma en que se desarrolló este caso. La impresión 3D no quedó reservada para una fase provisional ni para una simple prueba de concepto. La doctora la llevó hasta la resolución definitiva del tratamiento. Eso le da mucho valor al blog, porque habla de un flujo completo. Habla de una odontología digital que no se queda en el software ni en el entusiasmo por la impresora. Se convierte en una forma de trabajo que acompaña todo el recorrido del caso, desde la planeación inicial hasta la restauración definitiva en boca.
Cuando ese recorrido se ejecuta bien, el tratamiento gana coherencia. El diseño no queda separado de la fabricación. La prueba no queda separada de la decisión final. Y el resultado definitivo no aparece como una sorpresa, sino como la consecuencia lógica de un proceso mejor controlado. Esa es una de las razones por las que este caso tiene tanta fuerza para 3Dental. Muestra un avance real en la forma de ejercer.
Resultados clínicos y estéticos
La parte más fuerte del caso está en el seguimiento. La Dra. Mariluz indica que el paciente lleva aproximadamente seis meses con las carillas y no ha presentado ningún tipo de novedad, ni fracturas ni cambios. Esa información le da peso a toda la historia. Ya no hablamos de una restauración bonita al momento de instalarla. Hablamos de una restauración que ha respondido bien en el tiempo reportado por la doctora.
En un blog de este tipo, ese dato cambia por completo la lectura del caso. El lector entiende que la experiencia no termina en la fabricación. Entiende que la restauración logró mantenerse estable en variables que son decisivas para la clínica estética: integridad, color y comportamiento general. Y eso vuelve mucho más creíble el valor del flujo digital aplicado con criterio.
Este caso tiene otro valor que va más allá del material o de la técnica. Representa el momento en que una profesional empieza a construir confianza dentro de la odontología digital. La propia Dra. Mariluz resalta que el acompañamiento de 3Dental fue importante en el paso a paso de las impresiones, en el uso de la impresora y en la parametrización de resinas. También expresa que ese apoyo le ayudó a dar un paso importante para empezar en odontología digital, eso convierte esta historia en algo más que un caso clínico. La convierte en una historia de implementación bien acompañada. Para muchos doctores, ese es el verdadero punto de decisión. No se preguntan únicamente si una resina funciona. Se preguntan si van a ser capaces de entrar a este mundo con seguridad, con respaldo y con una curva de aprendizaje clara. Este caso responde justamente a esa inquietud. Sí es posible dar ese paso y llegar a un resultado serio cuando existe acompañamiento técnico y un flujo bien guiado.
En 3Dental, este tipo de casos tiene un valor especial porque refleja la clase de acompañamiento que buscamos dar. No se trata de vender una impresora o una resina y dejar al profesional frente al proceso. Se trata de acompañarlo en la implementación real de la odontología digital, desde el uso del equipo hasta la parametrización de materiales y la comprensión del flujo. La experiencia de la Dra. Mariluz muestra que ese respaldo sí marca una diferencia, porque le permitió avanzar con más seguridad hacia una restauración definitiva bien resuelta y clínicamente estable.
Ese es el tipo de valor que queremos comunicar en la web. Tecnología con aplicación real. Materiales que responden. Soporte técnico que guía. Y resultados que le dan al profesional más confianza para seguir creciendo dentro del flujo digital.
El caso de la Dra. Mariluz no debe leerse como una historia más de carillas impresas en 3D. Debe leerse como la prueba de que un buen acompañamiento, un flujo ordenado y una restauración definitiva bien planteada sí pueden convertirse en un resultado estable y confiable en clínica. Diseño, pruebas previas, selección adecuada de resina y seguimiento favorable forman parte de una misma línea de trabajo. Una línea donde la odontología digital deja de ser una promesa lejana y empieza a convertirse en una herramienta concreta para tratar mejor.

¿Estás dando el paso hacia la odontología digital y quieres hacerlo con más seguridad, mejor guía y materiales que respondan bien en clínica? En 3Dental te acompañamos para que ese proceso se convierta en resultados reales para tu práctica.