En odontología estética, uno de los puntos más importantes no está únicamente en cambiar la apariencia de una sonrisa. Está en lograr que ese cambio pueda planearse, visualizarse y ejecutarse con claridad antes de llegar a la fase restauradora. Ahí es donde la odontología digital gana un valor clínico real. El caso del Dr. Dubier Mena muestra justamente cómo una planificación digital bien desarrollada puede convertir una inconformidad estética en una propuesta más precisa, más ordenada y mejor alineada con lo que la paciente busca.
Este caso no debe leerse como una historia simple de carillas impresas en resina. Su verdadero valor está en la secuencia clínica que hizo posible el resultado. La paciente consultó por inconformidad con la presentación de sus dientes anteriores. A partir de esa necesidad, el tratamiento se estructuró desde la planificación digital, pasó por una validación previa con mockup, se apoyó en guías de preparación y avanzó hacia la impresión de carillas en resina para mejorar color, forma, tamaño y posición. Esa lógica le da mucha fuerza al blog, porque muestra un flujo donde el resultado final no se improvisa, sino que se construye paso a paso.
Desafío clínico
La necesidad de la paciente era clara desde el inicio. Existía inconformidad con la apariencia de los dientes anteriores y esa inconformidad no se limitaba a una sola variable. El caso exigía intervenir varios aspectos de la sonrisa al mismo tiempo, entre ellos color, forma, posición y lectura general del frente anterior. En tratamientos de este tipo, el reto no está en producir una restauración aislada que se vea mejor. El reto está en construir una propuesta que responda de manera coherente al conjunto de factores que hacen que la sonrisa se vea armónica dentro del rostro.
Ese punto es clave dentro del blog porque explica por qué la planificación digital tuvo tanto peso en el resultado. Cuando una paciente quiere modificar cómo se ven sus dientes anteriores, el tratamiento debe permitir anticipar el cambio y reducir al máximo la incertidumbre. En este caso, el objetivo no era corregir un detalle puntual. El objetivo era rediseñar la sonrisa con una propuesta estética que pudiera validarse antes de avanzar hacia la fase definitiva.

Planificación digital y mockup
El caso se desarrolló a partir de una planificación digital orientada a modificar el color, la forma y la posición de los dientes anteriores. Esa etapa tuvo una función decisiva porque permitió traducir la inconformidad inicial de la paciente en una propuesta concreta de cambio. En odontología digital, este paso tiene un valor muy alto. Permite proyectar mejor el resultado, organizar la intervención con más criterio y llevar el tratamiento a una zona de mayor control antes de tocar el diente o fabricar la restauración final.
Después de esa planeación se realizó un diseño previo y se llevó a boca un mockup. Ese paso tiene mucho peso dentro del caso porque convierte una idea digital en una validación clínica y visual más cercana a la realidad. El mockup no cumple aquí una función decorativa. Cumple una función de confirmación. Permite revisar si el cambio propuesto responde bien a la expectativa estética de la paciente y si la nueva lectura de forma, tamaño y proporción realmente se integra mejor a la sonrisa. En otras palabras, ayuda a decidir mejor antes de entrar a la fase restauradora definitiva.
En este punto está una de las fortalezas más claras del caso. La sonrisa final no nació de una decisión tomada a ciegas. Nació de un proceso donde la paciente pudo ver, validar y aceptar el cambio antes de avanzar. Eso no solo mejora la precisión del tratamiento. También mejora la confianza durante el proceso y acerca mucho más el resultado final a lo que la paciente esperaba.
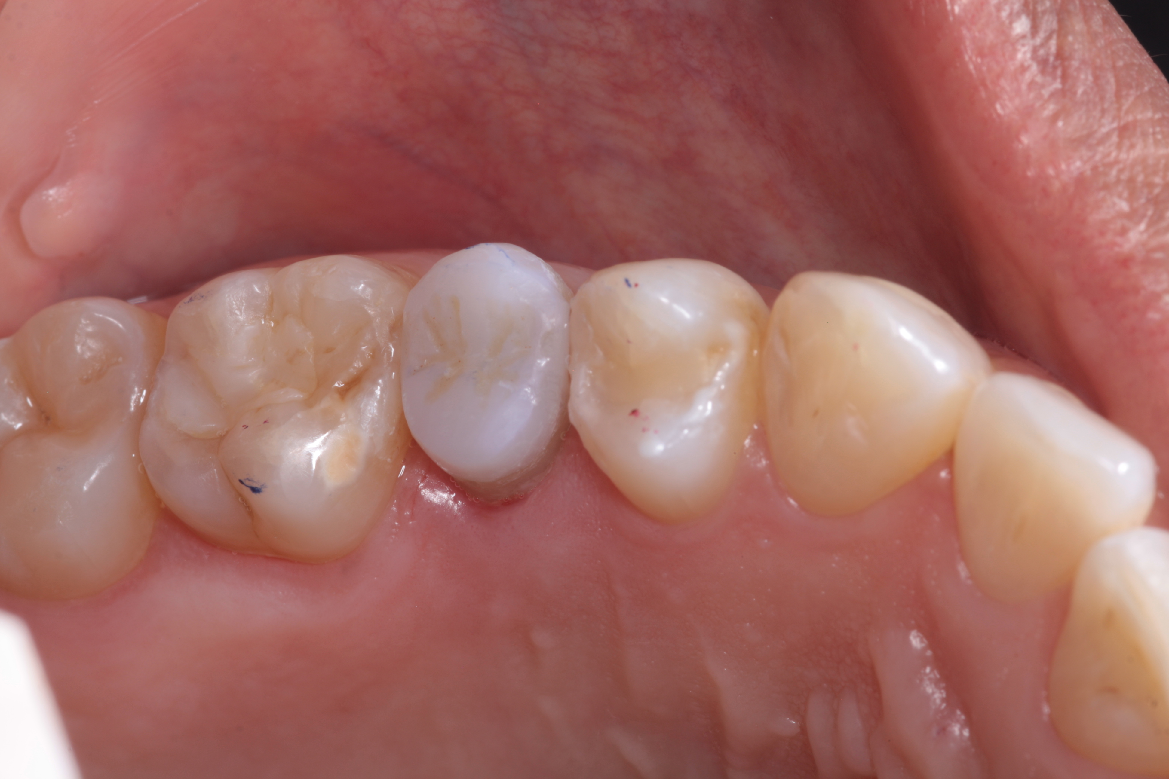
Con base en el mockup y en la planificación previa, se realizaron guías de preparación para avanzar hacia la impresión de carillas en resina. Esa secuencia muestra un tratamiento bien estructurado. No se pasó de la intención estética a la restauración final de forma directa. Se construyó un puente clínico entre ambas etapas, apoyado en guías que ayudaron a llevar la preparación y la fabricación hacia un resultado más controlado.
Este punto aporta mucho valor al blog porque habla de ejecución clínica, no solo de diseño. En muchos tratamientos estéticos, la diferencia entre un resultado prometedor y un resultado bien resuelto está en cómo se traslada la planificación al trabajo real en boca. Aquí, las guías de preparación cumplieron precisamente esa función. Sirvieron para conectar el diseño digital con una fase clínica más ordenada y con carillas impresas en resina que respondieran mejor al objetivo del caso.
Las carillas impresas en resina entran entonces como parte de un flujo integral y no como el único elemento importante del tratamiento. El valor de esas restauraciones está en que nacen de una secuencia donde el diseño fue pensado, el mockup fue validado y la preparación fue guiada. Esa suma de etapas es la que le da más fuerza y más precisión al resultado final.
Resultados clínicos y estéticos
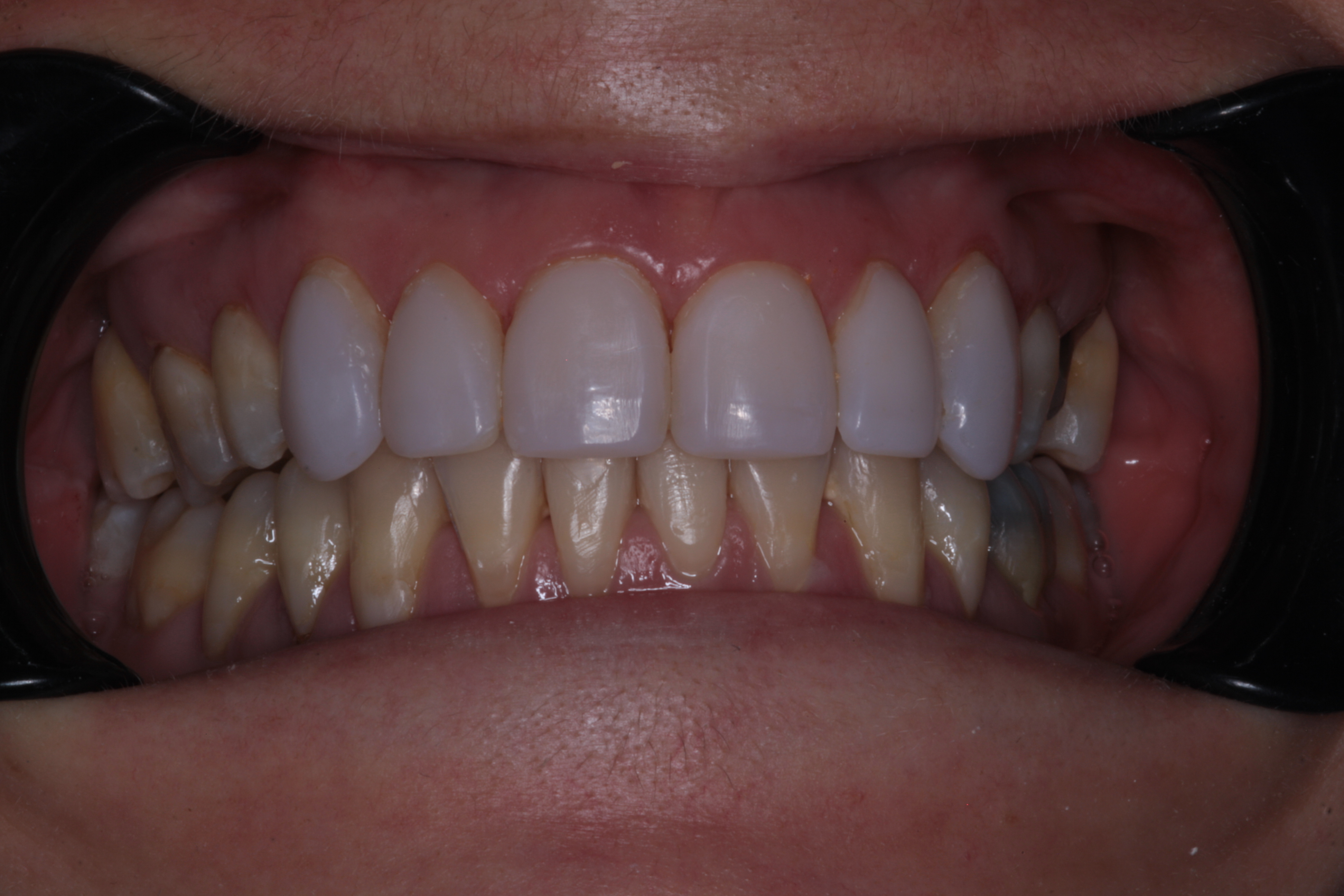
El resultado del caso fue muy favorable para la paciente. Según lo expresado por el Dr. Dubier Mena, el cambio mejoró notablemente la posición, el tamaño, la forma y el color de los dientes anteriores, haciendo la sonrisa más atractiva, que era justamente lo que la paciente buscaba. También reporta que la paciente quedó muy conforme y muy contenta con el resultado.
Este bloque tiene mucho valor dentro del blog porque muestra que el resultado no se limita a una apreciación clínica externa. También responde a la expectativa estética de la paciente, que es una parte central en este tipo de tratamientos. En estética anterior, un buen resultado no depende solo de que la restauración se vea técnicamente correcta. Depende de que la paciente sienta que su sonrisa ahora expresa mejor lo que quería proyectar. En este caso, esa respuesta fue positiva y clara.
Desde una lectura clínica, el cambio se apoya en cuatro variables muy potentes. Mejor posición, mejor tamaño, mejor forma y mejor color. Esa combinación explica por qué la sonrisa final se percibe más armónica. No hubo una mejora aislada. Hubo una reorganización estética del frente anterior a partir de una propuesta que fue planeada, validada y ejecutada con una secuencia lógica. Ese es el punto que hace que este caso tenga más profundidad que una simple historia de antes y después.
Lo que demuestra este caso
El caso del Dr. Dubier Mena muestra que la odontología digital aporta mucho más que una forma diferente de fabricar restauraciones. Aporta una manera más clara de tomar decisiones dentro del tratamiento estético. Cuando el flujo incluye planificación digital, mockup, guías de preparación y carillas impresas en resina, el profesional gana herramientas para visualizar mejor el resultado, ajustar la propuesta antes de la fase definitiva y llevar el tratamiento hacia una ejecución más precisa.
Ese punto es muy valioso para la web de 3Dental porque conecta con una necesidad real de muchos doctores. No basta con tener acceso a tecnología. Lo importante es entender cómo usarla para dar más seguridad al tratamiento y más claridad a la paciente. Este caso responde justamente a esa pregunta. Muestra que el flujo digital bien aplicado mejora la forma de planear, comunicar y ejecutar un cambio estético en el sector anterior.
En 3Dental vemos este tipo de casos como una muestra del valor real que tiene la odontología digital cuando se integra con criterio dentro de la práctica clínica. Para nosotros, la tecnología no debe verse como un recurso aislado. Debe verse como parte de un proceso que ayude al profesional a diagnosticar mejor, planear con más claridad y ejecutar con una base más segura. Casos como el del Dr. Dubier Mena reflejan justamente esa línea de trabajo: una odontología digital orientada a resultados más previsibles, mejor visualización del tratamiento y una experiencia más clara para la paciente.
Por eso, en 3Dental impulsamos flujos donde el diseño, la impresión 3D, la preparación guiada y la selección correcta de materiales se entienden como partes de una misma lógica clínica. Cuando esas etapas se conectan bien, el resultado no depende de improvisaciones. Depende de un proceso ordenado que mejora la calidad del tratamiento y fortalece la confianza del paciente en cada fase.
El caso del Dr. Dubier Mena deja una enseñanza muy clara para la clínica estética actual. Una sonrisa bien resuelta no empieza en la restauración final. Empieza mucho antes, en la forma en que se planifica el caso, se valida el cambio y se traslada esa visión a una ejecución clínica más precisa. En esta paciente, la planificación digital, el mockup, las guías de preparación y las carillas impresas en resina formaron parte de una misma secuencia de trabajo orientada a mejorar posición, tamaño, forma y color de los dientes anteriores. El resultado fue una paciente satisfecha y una sonrisa más atractiva, más armónica y mejor alineada con su expectativa inicial.
Ese es el punto que hace fuerte este caso para la web de 3Dental. No muestra solo una restauración estética. Muestra cómo la odontología digital puede ayudar a planear mejor, validar mejor y tratar mejor. Ahí está su verdadero valor clínico y comunicativo.
¿Quieres planear tus casos estéticos con más claridad, mostrarle a tu paciente el cambio antes de la fase definitiva y trabajar con un flujo digital más preciso? En 3Dental te acompañamos con tecnología, materiales y criterio clínico para llevar tu práctica a un nuevo nivel.